แชร์เรื่องนี้
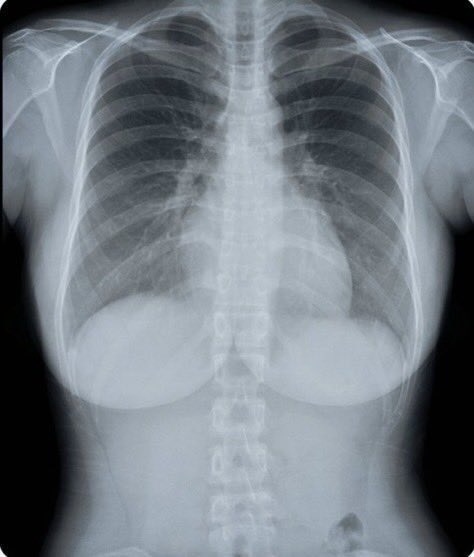
สาวสวยรายหนึ่งแชร์ภาพเอกซเรย์หน้าอกของตัวเองลงโซเชียล กลายเป็นกระแสฮือฮาในหมู่ชาวเน็ตโดยไม่คาดคิด ยอดเข้าชมพุ่งถึง 1.255 ล้านครั้ง หลายคนถึงกับคอมเมนต์ถล่มทลาย
เน็ตไอดอลสาว “ตู้ตู้” ที่มีผู้ติดตามกว่า 210,000 คน มักโพสต์ภาพสุดแซ่บให้แฟน ๆ ได้ติดตาม
ชาวเน็ตจำนวนมากพากันเข้ามาคอมเมนต์ว่า “ภาพนี้เห็นชัดสุด ๆ เลยนะเนี่ย!”, “เมื่อก่อนเคยคิดเล่น ๆ ว่าถ้ามีตาทะลุมองได้จะเป็นยังไง ตอนนี้ได้เห็นของจริงแล้ว”, “หน้าอกใหญ่มาก” และ “ชัดแจ๋วแบบไม่ต้องเซนเซอร์”
ขณะเดียวกัน ก็มีบางคนแซวในมุมขำ ๆ ว่า “แบบนี้เรียกว่าโดนมองทะลุหมดแล้วล่ะ”, “ตรงล่าง ๆ ที่เป็นแผ่นขาว ๆ คืออะไร?” และ “เห็นชัดเลยว่ามีซิลิโคนอยู่สองก้อน”
จริง ๆ แล้ว การตรวจเอกซเรย์เต้านมหรือแมมโมแกรมสามารถช่วยตรวจหาจุดแคลเซียมหรือก้อนเนื้อในเต้านมได้ รวมถึงตรวจพบมะเร็งเต้านมระยะเริ่มต้นที่ยังไม่แสดงอาการ (ระยะศูนย์) ด้วยเหตุนี้ จึงมีการแนะนำให้ผู้หญิงที่เข้าเกณฑ์ ควรเข้ารับการตรวจคัดกรองเป็นประจำ เพื่อให้สามารถพบและรักษาได้ตั้งแต่ระยะเริ่มต้น




